本文作者:胡行
浙大二院烧伤与创面修复科副主任医师
深夜,急诊送来一位会阴肿胀的患者。
紧急上台,切开的一瞬间,恶臭的粪便、脓液,菜叶等食物残渣混合物如瀑布一般喷涌而出,整个手术室内立即充斥着令人作呕的臭味……
惊心动魄的手术,让我印象深刻至今。而这,还只是开始。
急诊送来一位患者,会阴高度肿胀
「胡医生,你今天值班吗?先别离开手术室!」
2024 年 5 月 20 日晚,我刚完成一台热压伤手背切痂急诊手术,正坐着写手术记录,就接到了大肠外科值班医生刘月的电话:「我们有一台急诊手术,请你会诊!」
她很快向我介绍了患者的病史:
患者男性,62 岁,因「臀部肿痛 5 天」于 2024 年 5 月 20 日入院。
患者既往体健,3 年前腹股沟疝气行手术治疗。2023 年 4 月起发现便中带鲜血,随后在湖南当地医院确诊为直肠癌,PET-CT 诊断「直肠癌左肺转移」。随后,患者先后接受多次放化疗。在这次入院的 20 天前,患者刚刚做完最近一个疗程的治疗。
然而,5 天前,也就是 2024 年 5 月 15 日起,患者开始出现排便减少、大便费力的情况,并伴有臀部疼痛。随着症状持续加重,在杭州工作的女儿决定带父亲跨省治疗。
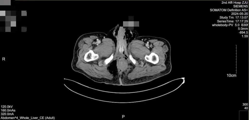
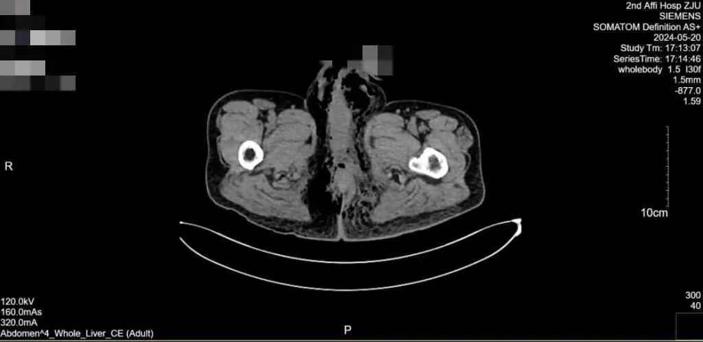
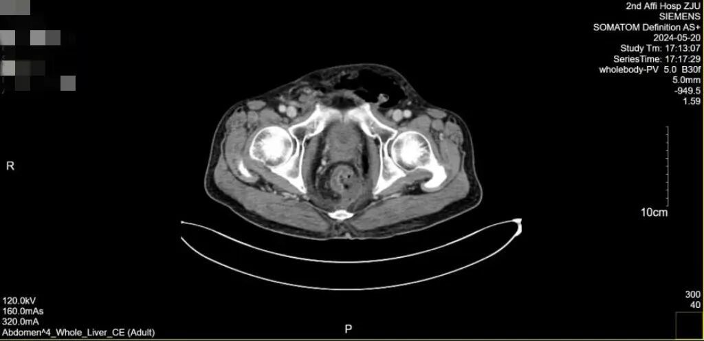
当来到浙江大学医学院附属第二医院急诊时,患者的情况已经相当复杂:全腹 CT 增强扫描提示直肠左侧壁不连续,周围渗出、积液积气,直肠周围筋膜增厚,盆底周围、会阴渗出、积气,两侧腹股沟区、盆壁、左侧腹腔多发积气。




患者腹部 CT 增强扫描报告
查体可见阴囊肛周直至双臀部,大腿根部广泛红肿,阴囊阴茎高度肿胀。
同时,实验室检查提示患者外周血白细胞计数 6.3×10^9/L(参考值 4.0~10.0×10^9/L),血清 C 反应蛋白 278.6mg/L(参考值 <10mg/L),提示存在感染。

患者血液检验报告
入院当晚,患者就表现出明显的脓毒症表现,心率快,血压低,高热,并出现胡言乱语等意识障碍。
这是化疗后直肠癌破裂引起的会阴坏死性筋膜炎「Fournier 坏疽」,必须立刻进行急诊手术!
用受伤的手切开患处,恶臭的混合物喷涌而出
巧合的是,就在不久前,我刚刚与大肠外科的同事们合作,成功处理了一例外院直肠癌保肛切除后,因换药不当引发吻合口瘘导致的会阴坏死性筋膜炎。
在了解了这名患者的情况后,我心中迅速拟定了治疗方案:首先在横结肠造口,阻断粪便继续流向会阴创面,同时在下腹会阴进行扩创处理。
很快,患者被推进了手术室。尽管已经有所心理准备,但掀开被子一看,眼前的情景还是令我头皮发麻。
患者的阴囊已经肿得如同椰子一样大,呈紫黑色高度肿胀,阴茎也肿得如同 600ml 矿泉水瓶粗。不仅如此,从腹股沟到肛周,再到两侧大腿内侧,整片皮肤充血红肿、皮温升高,提示存在广泛的炎症侵犯。
事已至此,手术迫在眉睫。
由于患者需要摆成膀胱截石位,过程中,我手提床单试图抬高臀部,没曾想,用力拽起床单的瞬间,只听一声脆响,我的右手立即传来一阵钻心剧痛!
坏了!我心里暗叫不妙,立即捂着右手手腕冲进隔壁骨科手术室,抓住正准备洗手的骨科值班医生帮我简单查体:腕部各个方向没有明显的畸形和异常活动,主被动尺偏时均可诱发尺侧腕部疼痛。
「大概率是尺侧腕部三角软骨综合体损伤(TFCC 损伤),但需要磁共振确诊。」骨科医生说,「治疗先以保守制动 6 周为准,如果保守治疗无效,就需要手术,严重的甚至终生影响右手功能。」
但患者还躺在隔壁手术台上急等救命。思虑再三,我向巡回护士找来冰块冰水,冷敷十分钟,直把右手右腕泡的冰冷麻木,立刻洗手穿衣上台。
腹部,大肠外科的刘月医生以最快速度完成了「横结肠袢式造瘘」;与此同时,我在会阴部沿阴囊正中直至肛门前方切开脓腔。
就在切开的一瞬间,恶臭的粪便、脓液,菜叶等食物残渣混合物如瀑布一般喷涌而出,整个手术室内立即充斥着令人作呕的臭味。
巡回护士和麻醉师等纷纷掩住口鼻,暂时躲到手术室门口透气,但在手术台上的我们和器械护士只能「迎臭而上」,以最快速度进行手术。
我尽可能修剪去除肉眼可见的坏死组织,同时用大量生理盐水、双氧水、碘伏冲洗,还又从腹部造瘘口流出道灌入 6000mL 生理盐水冲洗,直到患者肛管引流内和创面流出的液体都转为黄色清亮。
止血完成后,我们将负压装置安装于患者创面,将他护送回外科 ICU。
直到交接完毕,我才捂着愈发疼痛的右手赶到骨科急诊进行临时固定。第二天的磁共振检查也验证了我和骨科值班医生的判断——果然是 TFCC 损伤。
考虑到损伤以水肿为主,骨科胡信雷副主任医师建议我先保守治疗。等再次回到科室时,我的手上已经多了一副定制支具,被同事们笑称是「猛男芭比粉」。
不过,这场令我出师未捷先「挂彩」的战斗,才刚刚开始。

带了定制支具的手
术后吃了面条馄饨?刚出 ICU 又「二进宫」
转入 ICU 后,患者接受了禁食+肠外营养+强化抗生素治疗的组合拳治疗。
此后的 5 月 22 日,5 月 25 日,5 月 27 日,我们又多次为患者进行「会阴部扩创负压吸引术」,小面积高频次地彻底清创。
好消息是,患者的感染迅速控制,病情逐渐稳定。在 5 月 27 日的手术中已经缝合关闭了部分伤口。等到了 6 月 1 日,患者顺利拔除气管插管,转出 ICU。我们计划让患者先康复一段时间后,再由大肠外科评估可否进行根治性直肠癌病灶切除术。
另一方面,我的右手经过一周的敷药和制动也在迅速好转,大多数时候已经不再持续性疼痛。
一切似乎已经归于平静,然而,护士带来的消息让剧情急转直下。
从监护室出来仅仅一天,已经禁食十天的患者恢复精神,胃口大开,而家属出于「给他补补」的好心,给他买来了面条、馄饨等食物,患者大量进食固体食物后,会阴负压内被大量粪便污染!
我们紧急联系了大肠外科副主任王建伟主任医师,这才得知,为了便于后期回纳手术,前几日的急诊手术中行横结肠袢式造瘘,虽然可以引流掉大部分粪便及肠内分泌物,但由于没有完全切断肠道,患者大量进食固体食物后,粪渣仍会通过流出道进入肛肠,再次通过破溃的直肠癌污染切口。
不得已,我们只能再为患者进行紧急手术,拆除负压,拆开部分会阴切口,清创后再次负压吸引。同时,大肠外科王建伟主任医师也为患者进行了腹部造口清创,这次改为单孔造瘘,将远端流出道彻底封闭。
险情得到了控制,我再次长舒一口气。
术后,王建伟主任医师与患者详细沟通并评估病情,提出:患者的直肠癌在前期治疗后,肺部转移灶稳定,没有进一步扩散迹象,而局部直肠癌仍存在根治性切除的手术机会。
因此,在又一次补充会阴扩创负压吸引后,我们将患者转科至大肠外科,于 2024 年 6 月 19 日进行了低位直肠癌根治性切除术(miles 手术)。术后患者恢复良好,并于 7 月 2 日转回烧伤与创面修复科。
至此,患者的肿瘤治疗告一段落,会阴伤口的上半部(阴囊切口)也已经完全愈合。
接力棒再次回到我们手中,面对直肠癌根治性切除后遗留的巨大空洞,该如何修补?
巨大的一个洞,想办法用「活肉」填补
面对患者复杂的病情,简单地用皮瓣「盖上」显然不可行。
由于术后巨大的空洞,单纯的皮瓣修复就像给碗上盖一层布,必然会遗留死腔,成为感染复发的温床,甚至留下迁延不愈长期流脓的窦道。
我们一边为患者进行会阴死腔扩创+更换负压吸引,将创伤部位逐步修整洁净,一边查阅文献、全科讨论,还请教了骨科胡信雷副主任医师,最终,为患者制订了一套修复方案:左侧股薄肌带蒂肌瓣填塞+局部臀下动脉穿支皮瓣旋转推进。
简单来说就是,先从左侧腿上移一块肌肉填满空缺,再从臀部旋转过来一片皮肤修复。

手术方式示意图
这一方法的重点在于使用带血运肌肉组织填塞死腔「内胆」,彻底消灭潜腔,控制感染,再以皮瓣修复外层皮肤软组织缺损创面,达到双重保险确保愈合的目标。
7 月 19 日,准备就绪后,患者被推入手术室。
我们首先需要找到用于填充的肌肉:在大腿内侧,长收肌后方,解剖出股薄肌前缘,并小心解剖出股深动脉股薄肌支穿入股薄肌的「肌门」,并妥善保护。
随后,以此为旋转点,切出足够长度的股薄肌并抽出;同时,以臀下动脉为蒂,在臀部解剖出一片可以旋转的皮瓣。两者血运良好,且试组装发现可满足「填塞死腔+覆盖创面」的双重需求,我们以可吸收缝线将股薄肌束缝合固定在死腔最深处,再用皮瓣封闭创面,缝合各个切口并放置引流。
终于,这块困扰患者许久的大病灶,重获新生。
术后 7 月 22 日,患者切口对合良好,准予出院,回到当地医院继续康复治疗。
2024 年 9 月,患者出院 2 个月。虽然患者家属和当地医院医生都说,患者目前愈合良好,但发来的照片晦暗模糊,我仍然放心不下。
为了亲眼看到患者愈合情况,我抽出周末时间,自己买了张火车票前往湖南。在看到患者不到半年增重了超过 10 斤后,悬着的心终于放下了。
查体显示,患者的会阴、大腿创面已完全愈合,下地行走一切正常,腹部造口排便通畅。不仅如此,会阴部磁共振检查结果显示,肛肠癌变切除的死腔已被「前来支援」的股薄肌束完全填塞,外部皮瓣愈合良好。甚至胸部 CT 也显示肿瘤「转移灶」稳定。
如今,距离患者前来杭州求助已过去整整一年半,我受伤的右手腕也早已卸下护具。医院奔忙的日常中,唯有偶尔提起重物时一闪而过的隐痛,仍在提醒我,那段惊涛骇浪般的经历,确曾真实发生。
策划:z_popeye|监制:islay
题图来源:视觉中国
特别声明:以上文章内容仅代表作者本人观点,不代表本网站观点或立场。如有关于作品内容、版权或其它问题请与我们联系删除或修改。
澳鸟-全球资讯平台







